C’ETAIT IL Y A UN SIECLE…
Je terminais un entrainement de course à pied, du trail nature ma passion. 4 heures de course, avec 3000m de dénivelé positif, 35 km. J’étais sur le retour, dans la descente du mont Verdun, un itinéraire que j’ai dû emprunter peut être un millier de fois… C’était le chemin qui devait me ramener tranquillement vers la maison. Des souvenirs qu’il me reste des instants précédents l’accident, je me souviens que j’étais déshydraté, je salivais beaucoup, il mes restait trop d’eau dans mon camel par rapport à la durée de cet entrainement. L’aisance ressentie m’avait fait oublier une règle d’or, boire régulièrement ! j’étais impatient d’en finir et malgré la fatigue, j’avais, comme souvent, la satisfaction du travail accompli… Un bon entrainement de plus allait s’achever. La dernière ligne droite qui devait me préparer pour la course de ma vie… Je ne le savais pas encore, mais l’épreuve de ma vie, elle était imminente, elle allait commencer dans cette descente, en sortant d’un petit chemin, en traversant une voie de circulation, où soudain…
LE TROU NOIR
J’ouvre les yeux, je suis allongé sur le bas côté de la chaussée, ma tête a heurté le sol, il y a une flaque de sang assez importante sur la route. Je touche du bout des doigts mon crâne, il y a du sang épais mais je ne ressens pas de douleur importante. Je suis courbaturé mais rien ne semble cassé, ça me rassure, je me lève et je fais quelques pas… Je me souviens me dire, la course du mois d’aout ne doit pas être compromise. Un motard, blessé lui aussi est là, il boite, j’apprend que c’est lui qui vient de me percuter. Sa moto est couchée sur le sol. Il bredouille quelques phrases: « j’ai cru que vous m’aviez vu » « Vous étiez à l’arrêt et d’un coup, vous avez traversé ! » Plusieurs autres personnes sont là, un homme qui me reconnait et dit « c’est un gendarme du village ». On me dit que je suis sérieusement amoché à l’arcade gauche et qu’il serait plus prudent que les pompiers se déplacent. A cet instant, je me dis que mon visage doit être bien touché pour que cela suscite cette inquiétude autour de moi. Je me touche encore le crâne pour localiser ma blessure. Non mon visage ne semble pas touché et c’est sur le sommet gauche de ma tête qu’il y a une plaie. Je n’ai toujours pas de douleurs, je pense m’en sortir avec quelques points de suture. Mon téléphone portable est dans une poche de mon sac à dos, J’appelle Florence qui est à la maison pour qu’elle vienne me chercher. Allo chérie, j’ai eu un accident dans le mont Verdun, je crois que j’ai été percuté par une moto… Rien de grave ne t’en fais pas… Peux tu venir me chercher ? A partir de là mes souvenirs sont confus. Je me souviens de Florence qui arrive sur place, elle récupère mes affaires. Je me souviens d’Arnaud et Laure mes collègues de la brigade faisant des constatations, notre job quoi ! C’est pour mon accident tout ça ? Mais pourtant il me semble pas que ce soit grave ! Je me souviens ensuite de vomissements, de maux de tête, sans aucune certitude sur les lieux, les moments exacts des évènements. Ce que je relate maintenant, pour rester chronologique dans mon récit, m’a été raconté par mes proches. Je n’arrive pas à me souvenir des pompiers sur les lieux. J’avais sans doute tellement envie que cela ne soit pas grave que mon inconscient a du occulter leur présence. Il m’a même été raconté que je n’ai pas voulu partir avec eux…
TRANSPORT AUX URGENCES
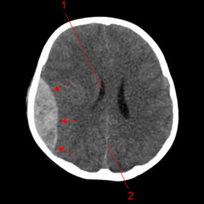
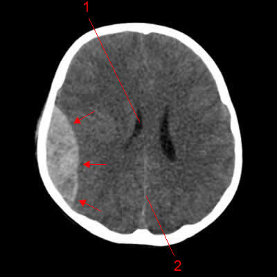
Il est environ 15h00. Je suis transporté aux urgences de la sauvegarde. J’y subi plusieurs examens et rapidement un hématome extra dural est diagnostiqué. Il était vital que je sois opéré rapidement. Des motards arrivent à l’hôpital pour escorter l’ambulance qui doit me transférer vers l’hôpital neurologique de Bron. Florence prend la mesure de la gravité de mon état en voyant l’escorte. Elle qui avait commencé à informer mes proches de l’accident sans les alarmer, doit maintenant annoncer que c’est plus grave. Je suis sédaté et placé dans le coma pour protéger mon cerveau de la pression sanguine de l’hématome. On m’opère vers 18h30. Sans rentrer dans les détails, l’hématome sanguin sur le lobe temporal gauche a été résorbé après l’ouverture d’un volet crânien. Le chirurgien sera très satisfait de cette opération. Mais comme dit Jean Pierre mon cher kiné du centre de convalescence des iris, les chirurgiens sont toujours satisfaits de leur travail !

9 JOURS S’ECOULENT…
Une période de coma post opératoire sans sédation dans l’attente de mon réveil. Les questions se bousculent pour mon entourage, mais pas pour moi, qui suis dans les limbes… Comment interpréter mes signes vitaux ? Quelles vont être les séquelles à mon réveil ? échelle de Glasgow ? Ce sont 9 jours d’absence pour moi. Comme un voyage dont on a aucun souvenir. J’ai eu plus de chance que ce pauvre Schumacher… Je ne me souviens absolument de rien. Pas de son, pas d’image pas de sensation, rien. Une parenthèse dans ma vie, un grand sommeil dont je ne me souviens même pas m’être éveillé. Cela été si progressif qu’il est impossible d’isoler un moment en particulier de la phase de réveil. Guillaume, mon frère me dira qu’on m’a parlé, qu’on m’a fait écouter ma musique, mon pote Michel m’a même envoyé des sms ! D’ailleurs, maintenant que je suis capable de les lire. Va falloir y répondre à ces messages ! J’ai la sensation d’avoir vécu cet accident comme un témoin, sans en être le principal acteur.
Quand j’entends parler de cette période de coma, où tout s’est joué, j’ai l’impression que l’on parle de quelqu’un d’autre. Mes proches, l’ont vécu, moi non. Je ne sais pas dans quelle mesure, mais tous, ont certainement joué un rôle dans ma sortie du coma. Aussi loin que je me souvienne, du réveil jusqu’au début de mon séjour de réadaptation au centre des iris, il ne reste que des instants, des sensations… Physiquement, je me souviens de mes difficultés pour lever mes bras. De mes problèmes d’équilibre pour tenir debout. De ma chute dans la chambre à l’hôpital, quand j’ai voulu changer de vêtement après une énième miction intempestive. Je me souviens de cette chute avec le sentiment d’impuissance lorsque ma tête était contre le carrelage froid de ma chambre, où j’ai attendu 2 ou 3 heures que l’on vienne me relever. J’ai pensé aux virus qui trainent dans les hôpitaux. J’étais sorti sauf de cet accident et j’allais choper une saloperie en respirant au ras du sol de cette chambre, tout ça pour enfiler un short propre ! C’était vraiment la loose ! Suite à cette chute, j’ai été attaché à mon lit avec des menottes la nuit pour éviter un autre accident. Il faut dire que cette chute avait provoqué un autre trauma crânien ! Dormir avec les mains attachées c’était vraiment une expérience difficile, je ne me servirais plus de cet objet si familier sans penser à ces moments. Je me souviens aussi de cette faim insatiable ! En arrivant au centre de réadaptation il a fallu doubler les quantités de pain, je me suis fait livrer du fast food et bien sûr, grâce à mes nombreux visiteurs, j’ai pu gouter aux meilleures pâtisseries du secteur ! J’avais perdu une dizaine de kilos après ma période de coma et comme initialement je n’étais pas très épais (préparation liée à l’UTMB), j’avais l’apparence d’un rescapé des camps, je ne pesais plus que 63 kg ! (Contre 72 aujourd’hui) Je me souviens de la vision de mes membres décharnés dans le miroir, l’image de ce corps amaigri me renvoyait à mon statut d’accidenté… handicapé, même si c’était provisoire… On ne pense pas provisoire quand on ne va pas bien. On pense que la situation ne changera peut être pas… Comme si on se lançait un défi. Est ce que tu vas pouvoir supporter cet état ?
C’EST MON FRERE QUI M’OUVRE LES YEUX,
sur la gravité de cet accident, et comment les évènements ont été vécus par mes proches. Jusque là, je n’avais pas conscience de l’intervention chirurgicale et en quoi elle avait consisté exactement. Un matin à l’hôpital, il m’a tout raconté. C’est à partir de ce moment, que je suis devenu fragile sur le plan émotionnel en prenant la mesure de ce qui était arrivé. M’imaginer handicapé, ne plus être moi même, les conséquences sur mes proches, sur mon emploi, sur notre futur enfant, toutes ces idées faisaient monter en moi des larmes incontrôlables. Ma neurologue m’expliquera plus tard que la zone du cerveau où j’ai été opéré gère une partie des émotions, mon équilibre et mon élocution. Qu’allait t-il rester de tout ça ? J’avais peine à imaginer m’en tirer sans y laisser des plumes, même si, assez rapidement après quelques semaines au centre des iris, j’étais autonome, je me lavais, j’allais seul aux toilettes, je pouvais avoir une conversation sans ressentir trop de fatigue. Des choses qui paraissent anodines maintenant, mais qui n’étaient pas imaginables au début de ma convalescence. Dès le début, on m’a rabâché, ce sera long… Il faut être patient… Il faut prendre les progrès les uns après les autres…
A CHAQUE JOUR SUFFIT SA PEINE
Durant ce long rétablissement ce qui a été le plus difficile, c’est de ne pas avoir de visibilité sur mes progrès. C’est tout à fait perceptible quand il s’agit de progrès physiques : se tenir debout, marcher, se doucher. Courir, 1mn, 5mn, puis 10, puis 30 et l’ivresse provoquée par l’activité sportive qui revient. Les instants qui suivent les efforts physiques sont particuliers. Ce sont les seuls moments où la sensation d’être celui que j’étais avant est vraiment palpable. La libération des endorphines du plaisir sans doute. En ce qui concerne l’activité intellectuelle c’était plus aléatoire. Au début j’ai cru que tout reviendrait très vite. Mais j’ai vite été déçu par des passages à vide vraiment difficiles où j’étais fatigué pendant des journées entières même sans grosses activités. Mon cher jean Pierre, mon kiné des iris, savait quand j’étais dans ces jours là. Non-voyant, il sentait que je n’étais pas dans mon assiette au bout de quelques minutes en salle de soins… Il me lançait alors son fameux « Pascal tu as le regard noir aujourd’hui ! » Oui Jean Pierre, c’est vrai, c’est un jour sans aujourd’hui. C’était vraiment dur parce que cela intervenait souvent après plusieurs jours où les progrès étaient significatifs. Où il me semblait que j’avançais… Et non, retour non pas à la case départ mais en arrière tout de même, en effaçant les derniers progrès. J’ai domestiqué ces baisses de forme qui au jour d’aujourd’hui ont tendance à s’espacer de plus en plus. J’essaye de donner le change. Je n’ai pas envie de raconter mon histoire et mes bobos: c’est toujours plus court de dire « je vais bien, le plus dur est derrière » que de dire » je vais mieux mais ce n’est pas encore ça. Il y a des jours sans … Quelque chose qui est comparable à l’ivresse… Une inexorable fatigue qui tombe sans prévenir et qui m’empêche de vivre normalement… Le plus difficile ces jours là, c’est d’éviter les conversations, éviter de croiser du monde, éviter le téléphone…au travail c’est vraiment compliqué ! Alors on s’isole et on fait le dos rond en attendant des jours meilleurs. Pour le physique, la condition semble revenir lentement. Des problèmes d’équilibre et de nervosité sont encore présents, mais globalement cela s’améliore et j’espère encore progresser. Les progrès sont très lents. Un jour, j’espère, je pourrais peut être me dire : tiens, on dirait bien que je suis comme avant ! Ou plutôt : tiens qu’est ce qui était différent avant ?
MA JAMBE NE REAGIT PAS
J’en ai vraiment assez de ne pas pouvoir courir normalement. Ne pas sentir cette jambe gauche est vraiment problématique. Je n’ai pas d’aisance pendant la course et cela limite énormément mon plaisir. Je vais interrompre totalement mon traitement avec le keppra dans quelques jours. Cet arrêt réglera peut être les problèmes liés à la fatigue mais pas celui là, qui est un dommage différent.
J’AI ARRETE LE KEPPRA
il y a maintenait 15 jours. Après une visite chez ma neurologue et un électroencéphalogramme pas franchement bon, j’ai stoppé le keppra et j’ai changé de traitement. J’étais très déçu de devoir poursuivre le traitement et également inquiet concernant ce nouveau traitement. Les retours d’utilisation sur Internet, faisait état dans ses effets indésirables d’irruptions cutanées. J’en avais aussi marre des médicaments après plus d’un an de traitement sans crise d’épilepsie constatée. La neurologue m’a expliqué que mon activité cérébrale à la stimulation présentait toujours des pointes et même plus importantes depuis ma baisse d’initiative du keppra. Je pouvais à tout moment, même si cela n’est pas arrivé depuis l’opération, faire une crise d’épilepsie. Elle m’a donc prescris le lamictal en remplacement du keppra. Voilà maintenant 15 jours que suis sous ce médicament. Les résultats sont très bons. Je devais vraiment avoir des problèmes avec le keppra. Il était sans doute responsable de ces fatigues depuis la reprise de mon emploi en sédentaire. Je recommence à faire du sport, loin du rythme d’avant bien sûr, mais de manière soutenue avec environ 50km par semaine, des pompes et d’autres exercices physiques. Je vais revenir sur le sport ultérieurement car ce qui était le plus importait c’était la baisse des fatigues au travail. Nous sommes le 22 août et ma vie est en train de ressembler un peu plus à ce qu’elle était il y a un peu plus d’un an.
Ce que je peux constater, 1an et 3 mois après l’opération, c’est que les problèmes d’élocution lors des fatigues dite « normales » (sport, fin de journée, manque de sommeil) ont presque disparu. Les problèmes de spasticité sur ma jambes gauche eux sont encore présents.
Revenons sur le sport. Il est de plus en plus clair que je ne pourrais plus courir comme avant. D’une part parce que je ne serais plus capable d’encaisser les charges d’entrainement auxquelles j’étais habitué mais également parce qu’il subsiste un problème que j’ai identifié comme de la spasticité sur ma jambe gauche. En courant j’ai la sensation de ne pas avoir le contrôle de cette jambe. La contraction musculaire ne se fait pas correctement, les capteurs proprioceptifs de mon pied semblent endormis ou inopérants. Je ne boite pas en courant, mais j’ai la sensation qu’il n’y a qu’une jambe qui travaille et que l’autre ne fait que suivre. C’est une gène qui n’est pas douloureuse, mais qui me fatigue car je compense avec mon autre jambe. Et le plus important c’est que le plaisir de courir n’est plus là.. La circonférence de ma cuisse gauche s’est réduite de quelques centimètres par rapport à la droite.
LA FATIGUE A MAINTENANT DISPARU
Il n’y plus les fatigues. Elles ne sont plus là ou de manière fugace après une journée de bureau où j’ai du gérer de nombreux dossiers. Ces fatigues auraient peut être été ressenties avant … Je n’en sais rien. Après une séance de sport la fatigue physique est là mais sans plus. Je récupère de mes efforts en une journée. Je n’ai plus de problèmes de concentration lors de mes auditions. Je me surprend même à me rajouter de la difficulté. Cela fait maintenant 1 an et trois mois que j’ai été opéré, le temps passe et fait sans doute son oeuvre. Le remplacement du keppra par le lamictal est sûrement responsable de ce nouveau palier franchi ces dernières semaines. J’espère qu’il me reste encore deux ou trois paliers à franchir pour corriger les derniers stigmates de cet accident. C’est vrai que si l’ont m’avait dit où j’en serais aujourd’hui il y a six mois, j’aurai signé immédiatement des deux mains. Mais la perspective de tout récupérer à l’air maintenant si proche et réalisable, que je ne peux m’empêcher d’y croire.
UN DIFFICILE RETOUR À LA RÉALITÉ
C’est ce qui restera de mon état physique de ce petit séjour que nous venons de passer à Stockholm. Les fatigues que je pensais terminées sont réapparues insidieusement à la fin des journées de visite dans la capitale suédoise. Certes nos journées de voyage sont toujours musclées et nous ne nous épargnons pas. L’association de la marche et du travail cérébral (langue anglaise, musées) étaient fatales aux environs de 16h00 – 17h00. Ma pile arrivait à épuisement et l’état de fatigue que j’ai connu au travail à la fin des journées est revenu. Je suis peut être trop exigeant avec moi et je n’ai pas encore accepté cette réalité que je ne serais plus jamais comme avant.
JE N AI PLUS ENVIE DE COURIR
Ce matin c’est ce qui ressort de ma sortie footing du lundi. Je n’ai pourtant pas été vite, je n’ai pas couru longtemps, mais la gène sur cette jambe gauche qui ne se réveille pas est trop handicapante et m’empêche de prendre du plaisir. Il faut dire que cela me mine terriblement… Les progrès réalisés ces derniers mois me donnaient beaucoup d’espoir. C’est une nouvelle fois un retour en arrière ou en quelque sorte du sur place… Florence se rend compte que je suis touché, elle m’encourage a chercher des solutions auprès d’autres spécialistes, mais il faut dire que je commence un peu a être résigné.
UNE EXPLICATION CREDIBLE
Aujourd’hui suite à l’insistance de ma femme, j’ai vu un nouveau spécialiste. Plus exactement un médecin généraliste ostéopathe. Après avoir longuement examiné sous toutes les coutures ma jambe gauche, ses conclusions ont été les suivantes : il y a une commande qui fonctionne mal là haut…De mauvaises informations sont envoyées à ma jambe. Elle reçoit comme un signal d’alerte et se mettrait en « sécurité » C’est la première fois qu’une réponse crédible m’est donnée pour expliquer ce qui se passe avec cette jambe. J’ai été orienté vers un podologue qui doit me faire des semelles orthopédiques pour, dans un premier Temps isoler les capteurs proprioceptifs défaillant et ensuite avec une autre paire de semelles diminuer leur implication. Je suis un peu dubitatif… Wait and see.
Cette semelle est confortable mais il n’y a quasiment aucun effet sur ma jambe sans sensation. Je ne vais quasiment plus courir. J’ai essayé hier soir, il faisait une température idéale, j’avais ma frontale et pourtant dès les premières foulées ça n’allait pas. C’est vraiment rageant de ne pouvoir apprécier ces moments.
LE TEMPS S’EST ÉCOULÉ
Nous sommes maintenant à 20 mois de l’accident. Les fatigues sont maintenant quasiment inexistantes. Je me demande quelquefois comment c’était d’être fatigué avant cet accident. L’état de ma jambe gauche avec les problèmes de sensations et de tremblements, n’a pas évolué. Je me rends compte maintenant que mon handicap, s’il en reste un, ce sera ça. J’ai pu reprendre mon travail presque comme avant. Je suis encore exempt de conduite et de services nocturnes. Ce qui maintenant me gène le plus c’est de ne pas pouvoir pratiquer mes activités sportives d’avant, celles où mes appuis sont sollicités. Je ne cours plus. J’ai essayé le foot et ça été catastrophique. J’en ai pleuré en rentrant. Je crois que c’est avec cette activité que mon problème est le plus visible. Plus le temps de jeu passait plus ça tremblait… Ceux qui étaient présents ont vraiment du se rendre compte de mes difficultés. Bref je pense que ces activités qui nécessitent des appuis, je dois les oublier. Je pense au ski… Je n’étais pas un grand fan, mais j’aurais quand même aimé faire une descente avec mon fils ! D’ici là, j’ai le temps de lui donner goût à la luge. Mon fils Ken parlons en ! C’est l’évènement qui va changer notre vie. Nous sommes apparentés à un petit Ken de 22 mois et nous sommes sur le point de partir le chercher. C’est vraiment un événement qui me fait oublier mes bobos. Nous sommes Florence et moi sur de nouveaux rails !
MA JAMBE EST UNE ANTENNE, UN INDICATEUR
Aujourd’hui j’ai la crève. Ce n’est peut être pas le meilleur moment pour rendre compte de l’évolution de mon état, mais c’est là, où je me sens le moins bien, que mes problèmes de jambe gauche sont plus sensibles. Il n’y a pas que ce rhume. Le manque de sommeil, la faim et les autres contrariétés font réagir cette jambe par des tremblements à l’appui, un manque de tonicité et une nervosité accrue. Je m’interroge sur l’opportunité de poursuivre mes services extérieurs je me sens plus en mesure d’assurer une intervention de manière fiable. Un autre problème s’est révélé à ma reprise des services extérieurs, j’ai de l’appréhension ou pour être plus clair j’ai peur. Je vais attendre notre retour des Philippines avec le petit pour prendre des décisions quant à mon avenir professionnel et la suite de ma carrière. Cette semaine avec Flo nous nous sommes renseignés sur la possibilité de prendre ma retraite. C’est un carrefour important pour moi. Je me rends bien compte que je ne peux plus continuer à travailler comme si tout allait bien.
NOUVELLE VIE
Le temps est passé… Un enfant est arrivé… Ma vie professionnelle s’est arrêtée. Interrompre mon activité était un choix en adéquation avec cette nouvelle vie. Je peux me consacrer à temps plein à mon fils. Je n’ai plus ou rarement des coups de mou. C’est difficile de déterminer si c’est l’activité physique que je pratique qui génère ce coup de moins bien, ou est ce encore cette fatigue latente qui va et qui vient sans cesse. Cette nouvelle position de père au foyer n’est pas trop handicapante… si ce n’est quand le petit s’agite dans tous les sens… mais quelle énergie !
